現在牙科的自費項目還真不少呀!所以我喜歡找老醫生看診,該補的補,健保用一用,啥事也沒有,就連假牙的價格也是以前一顆幾千塊,現在動不動就是全瓷牙萬來萬去的,難怪現在牙醫診所比7-11快一樣多了!!
本人下顎(排)的牙齒從年輕一直補到老,近期要去填補,牙醫老要我做假牙,都補過好多次為什麼不能補?
被拒絕後我決定找新的牙醫診所,去了住家附近一家很有名的牙醫診所,檢查完醫生一樣建議我做假牙!!
但醫師說在做假牙之前要先去矯正科評估咬合,說我大深咬,我驚覺一定又要掉入圈套,草草結束對話,拿了矯正科醫師的名片。
回家思考許久,被這麼多醫師拒絕填補可能真的是有原因,這個醫師說了一個咬合的問題,我決定去會會矯正科醫師!
看矯正科醫師的過程滿長的,填問卷照片子等等…….矯正科醫生跟我說深咬關係上+下的牙齒磨耗嚴重,建議全口矯正,把咬合打開,然後上顎的門牙可能無法使用很久……再頂著這樣的咬合,只會愈來愈糟糕,牙齒都磨成一半了

我的牙齒深咬

下牙齒只剩一半用了40年的牙齒,只剩下0.5公分(正常牙齒是1-1.2公分)

上牙齒也嚴重磨損

看完照片,覺得應當要面對我的口腔疾病,接受了全口矯正,這個矯正滿神奇的,有設計圖可以看,讓我很清楚知道我即將改善了什麼東西,但很麻煩,吃了東西就要拿起來刷牙不然很容易蛀牙,我超不習慣,大部分的時間我晚上才戴,每次回診都被護理師糾正(很兇),說時間沒戴滿效果有限……叫我一定要戴滿戴好
就在治療期間我的上顎門牙果然出事了長膿包,醫生幫我做根尖手術,據說少數的醫生才會,不然就要上大醫院弄,根尖手術後膿包消失了,醫生還是建議我不要留,但我覺得牙齒很珍貴,希望可以用到最後一刻,因為深咬的關係我的牙根剩一點點,拜託醫生幫我想辦法,於是又做了牙冠增長手術
牙根僅剩一點點

做完牙冠增長手術,是不是好多了

隨著矯正咬合變好,牙齒做手術後變長我很滿意,好景不常我的牙根底部還是病變了,只好拔掉植牙,在這個治療期間,我對醫師積極地保存我的牙齒而非積極的要我植牙感到很有安全感,植牙手術交給他自然很放心,我是採用拔掉馬上植牙的方式,查了文獻這種現拔現植的方式有好有壞,我是幸運的那個,骨頭很飽滿,很謝謝他當初幫我做根尖的手術讓保留了很多牙骨的條件
本來要填補下顎的門牙,變成了全口矯正,然後植牙,每一項都花了大錢,但這錢我覺得花得很值得,沒有想過深咬會帶給我這麼慘痛的代價,矯正把牙和打開後我咬得很剛好,所以下顎我沒有做假牙,說也奇怪,自從咬合打開後我的下面補過的牙齒沒有再掉過,所以就沒有做假牙的打算!經過這次經驗,奉勸大家絕對不能忽視咬合問題!!
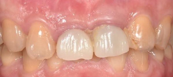
矯正前

做完矯正+植牙

























































































