(中獎了)各位幫我看看,我太太時否懷孕了~(附圖)

雖然還沒有當過為人父的經驗
但是這兩條"鐵證如山"的斜線...
應該是每個想當父母的喜悅.....
恭喜啦.....
我要油飯~~
不然最少也要紅蛋啦~~

恭喜樓主~~
恭喜,歡迎加入爸爸俱樂部,又有很多理由可以敗家了。
恭喜囉...
要當準爸爸了... 也要好好照顧 辛苦的準媽媽喔~~~
哇~~~恭喜!恭喜!!!

咦! 這樣的話是不是小老鼠寶寶阿?
跟我一樣耶!!
恭喜樓主~賀喜樓主~~你們家女王跟我們家女王都是差不多同一時間懷孕的!!
我家女王月經晚來一星期就先用驗孕紙驗孕了!
現在確定懷孕了!
但是我的心情跟你相反!!而且還要付出相當大的代價勒!!
TAMADAB wrote:
恭喜樓主~賀喜樓主~~你們家女王跟我們家女王都是差不多同一時間懷孕的!!
我家女王月經晚來一星期就先用驗孕紙驗孕了!
現在確定懷孕了!
但是我的心情跟你相反!!而且還要付出相當大的代價勒!!


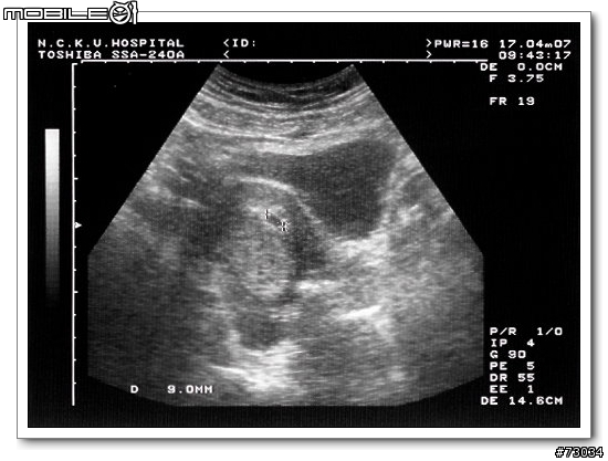
每個生命的誕生都是很微妙的~
當這星期在超音波上看到僅有9mm如米粒般大小的胚胎時...

心中的感動是難以言喻的...
我想,妳也會跟我有同樣初為人父的喜悅~

至於現實上的付出、犧牲...等等
我想...沒有什麼事是不能克服的...

同樣地~恭喜你....

主戰力:Canon EOS 400D + 430ex 副手:Canon Powershot S50 記錄員:SONY VAIO TR1
恭喜 cacachen 要當把拔啦!^o^

要好好珍惜這個過程喔!

從小小胚胎,有心跳,到長出小手小腳... 每個都是好開心的經驗呢

這陣子也要對老婆多多體諒,懷孕需要忍受一堆毛病,這痛那痛等等的,脾氣有時候也會不太好

尤其後期肚子大的時候更是坐立難安,加油!



女兒剛滿兩個月的新手爸爸
=無憂無慮自由自在=
果然中了
恭喜啦
恭喜啦
恭喜啦
恭喜啦
恭喜啦


文章分享
評分
評分
複製連結
請輸入您要前往的頁數(1 ~ 7)

今日熱門文章 網友點擊推薦!