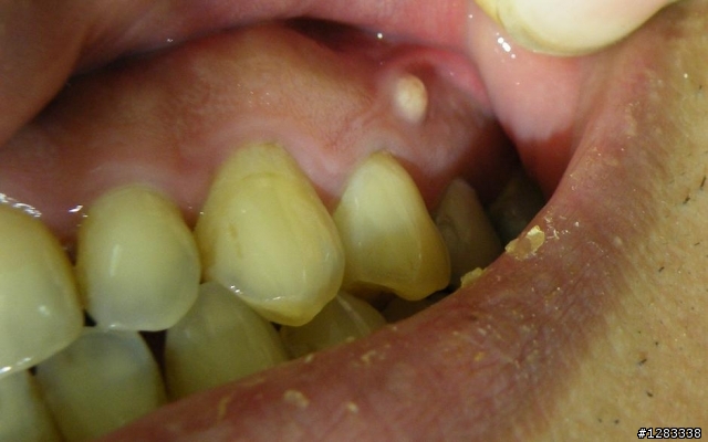
大概十年前當兵的時候在金門疏於照顧牙齒, 導致牙齒柱的很厲害, 真的痛的受不了才跑到金城一家民間做牙齒的把圖中那顆中間柱了很大一洞的牙齒做的抽神經的治療, 當初根本也沒想過要做牙套
十年來一直相安無事, 但是最近這顆牙齒的牙齦部分冒出了一個小紅點, 最後流血, 擠出來之後沒多久又腫起來流血. 找了一家牙醫去看醫生跟我說這顆牙齒現在做牙套已經沒救了, 他有幫我做排膿 ( 非手術, 我猜是用擠的吧 ), 還蠻痛的, 不過醫生也說大概只能撐一陣子, 很容易復發. 建議我拔掉再看要怎麼處理.
果然過了一個月, 又復發了...
所以在這邊請較一下牙醫網友, 還有救嗎 ? 真的只能拔掉?
另外印象中連著的上下兩顆都有補過, 但是應該神經都還在...






























































































